
Perfecting harmony
and confidence in
every radiant

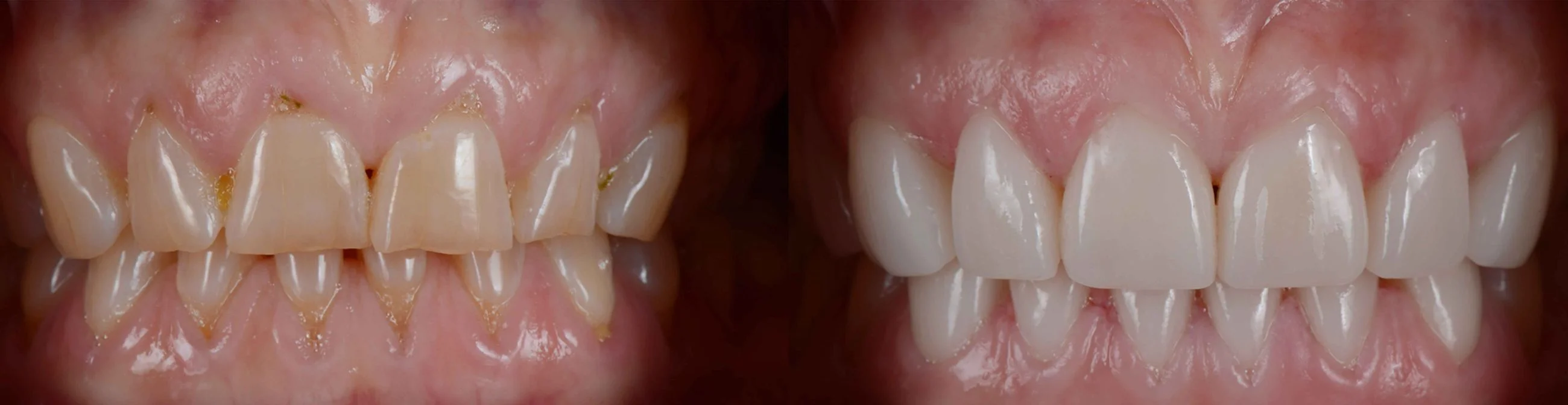
Traditional craftsmanship meets the best cutting-edge technology to deliver restorative dentistry with natural results and enduring benefits.

Dentistry isn’t just about fixing teeth, It’s about restoring confidence, comfort, and trust-patient by patient, smile by smile.
No two smiles are alike. At The Dental Roots, we understand that every patient is unique our personalized approach of perfecting harmony ensures treatments that are as individual as your smile.
India's leading and most trusted Dental Clinic
Our award-winning dental team are committed to providing exceptional dental care for all patients






Visit any of our conveniently located clinics for world-class dental care close to you.
Our award-winning dental team is committed to providing exceptional dental care for all patients
The pioneering practice has been recognized by health, beauty and lifestyle outlets alike because a smile makeover from The Dental Roots is something to talk about.